Chillicothe, Ohio

Emergency and follow-up care for foot and ankle joint dislocations. Expert treatment for acute dislocations and management of associated ligament and bone injuries.
To schedule your appointment, contact our team at (740) 851-4003 today.
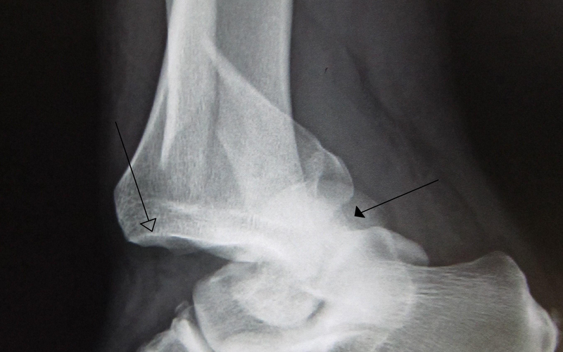
A dislocation occurs when the bones in a joint are forced out of their normal position. In the foot and ankle, dislocations often occur alongside fractures and ligament injuries, requiring expert evaluation and management.
Common types of foot and ankle dislocations:
These injuries require prompt, expert treatment to minimize long-term complications and restore proper function.
Treatment for dislocations depends on the type and severity:
If you've experienced a foot or ankle dislocation, prompt treatment is essential. Contact Bends Foot and Ankle immediately.
Call (740) 851-4003 for urgent evaluation.
Call us today to schedule an appointment and take the first step toward optimal wellness.
Medical Disclaimer: The information provided on this page is for educational purposes only and is not intended as medical advice. Individual results may vary. A thorough evaluation by Dr. Storts is necessary to determine the most appropriate treatment plan for your specific condition. Please consult with our office before beginning any treatment program.